logo_zold


BCN_ESO_badge


mamma


facebook-mammamia

43. eset

Diagnosztikus kihívások 2014-ben

A mai képalkotó és laboratóriumi diagnosztikai lehetőségek tárháza mellett nehéz elképzelni, hogy manapság is kihívást jelenthet egy ismeretlen eredetű primer tumor helyének meghatározása.

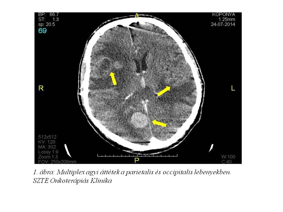
Egy 56 éves férfi betegünk kórtörténetét mutatom be, akit az SBO-ról vettünk át osztályunkra fejfájást, szédülést, hányingert és hányás okozó ismeretlen primer tumor multiplex agyi áttéteinek palliatív irradiaciójára (1. ábra, 2 ábra).

Kórtörténetéből a gyermekkori Heine-Medin kór (3. ábra) emelhető ki, mely miatt jelenleg is izomlazítót és alkalmanként fájdalomcsillapítót szed.

A logisztikai okok miatt 4x3 + 6x3,4 Gy frakcióban kapott sugár-, és a dehidrációs kezelés hatására panaszmentesen távozott intézetünkből.

A primer tumor kutatás első lépéseként mellkas, has-, kismedencei CT vizsgálatok készültek, melyek malignitásra gyanús elváltozást nem írtak le.

Ekkor tumormarker meghatározások (CEA, CA 19-9, PSA, AFP) történtek, melyek kórjelző eltérést nem mutattak.

Mivel az agyi áttétek biopsziáját túl kockázatos beavatkozásnak ítéltük, kérelmet nyújtottunk be PET-CT vizsgálatra, mely primer tumort kimutatni szintén nem tudott, de malignitásra utaló radiofarmakon halmozásokat írt le több nyirokrégióban a rekesz mindkét oldalán. Ezek közül a bal mandibulaszögleti nyirokcsomó tűnt biopszia szempontjából a legkönnyebben megközelíthetőnek (4. ábra, 5. ábra).

Az arc-állcsont sebészeten ezt a nyirokcsomót távolították el, mely az immunfenotípus alapján nagysejtes, rosszul differenciált neuroendocrin carcinoma nyirokcsomó infiltrátumát véleményezte. A kórszövettani vélemény kiindulási tumorként tüdő, gyomor, pancreato-biliaris eredetet valószínűsített.

Mindeközben a betegnél novum tünetek nem jelentkeztek, klinikailag az agyi áttétek nem mutattak progressziót.

A szövettani lelet birtokában chromogranin meghatározás történt, melynek értéke – 70,9 ng/ml - normál tartományon belül volt.

Az esetet ismételten megvitattuk intézetünk onko-team megbeszélésén, mely octreoscan vizsgálatot javasolt.

A szomatosztatin receptor szcintigráfiás vizsgálat primer eltérést szintén nem tudott elkülöníteni, de a felvételeket összevetve az FDG PET/CT vizsgálat során leírt nyirokcsomókkal, túlnyomórészt fokozott szomatosztatin receptor sűrűséggel rendelkező elváltozásokat írt le (6. ábra).

Ez alapján indult el a beteg kezelése somatostatin receptor analóggal.

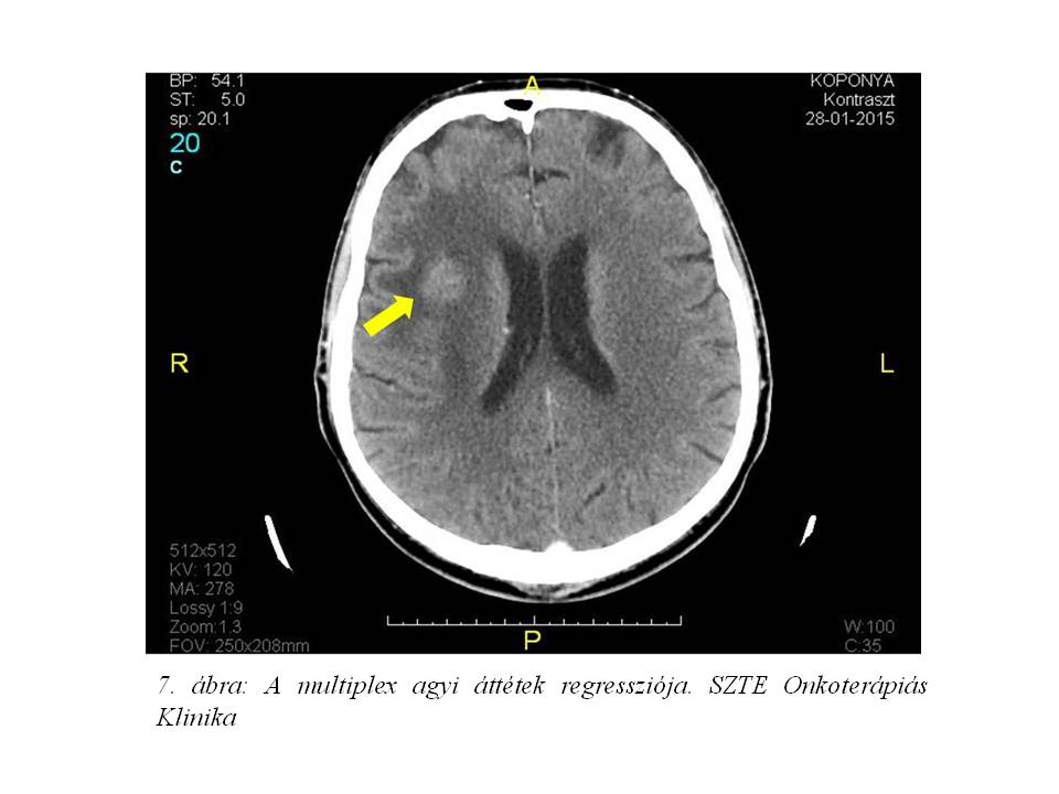
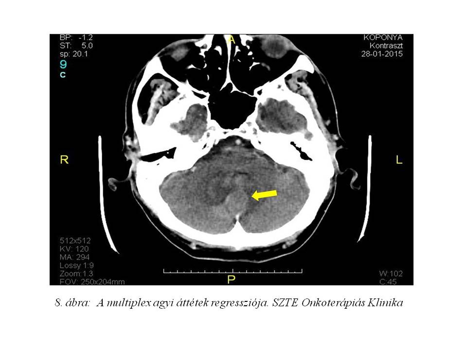
A kezelés megkezdése előtt kontroll koponya CT vizsgálat készült, mely a korábbi multiplex gócoknál regressziót véleményezett (7. ábra, 8. ábra).

A kezelés eredményességéről egyelőre nem tudunk beszámolni.

Esetbemutatásunkkal a napjainkban is fennálló hónapokig tartó diagnosztikus kihívásokra szerettük volna felhívni a figyelmet.