logo_zold


BCN_ESO_badge


mamma


facebook-mammamia

42. eset

Kolorektális karcinóma - hosszú távú túlélés – meddig nyújtható még?

A diagnózis idején 75 éves, nagyon jó általános állapotú férfi beteg anamnézisében gyermekkori Heine-Medin kór, 2004 óta magasvérnyomás betegség szerepel.

Panaszai 2008 nyarán jobb oldali alsó végtagi trombózissal kezdődtek. A kivizsgálás során a kolonoszkópia coecumtumort igazolt. Jobb oldali hemikolektómia történt. A daganat szövettani vizsgálata kp. differenciált adenokarcinómát írt le perikolikus zsírszövetre való terjedéssel – pT3, pN1 (2/9), Dukes C1. A kiegészítő molekuláris patológiai vizsgálat a KRAS gén 12-es és 13-as kodonjában mutációt írt le.

A műtét után 12 ciklus adjuváns FOLFOX4 kemoterápiát kapott.

Fél évvel az adjuváns kezelés után (2010.01) a soros staging vizsgálat a máj VII. és VIII-as szegmentumában áttéteket írt le, melyeket reszekáltak. A reszekátumok szövettani vizsgálata megerősítette a korábbi tumor áttéteit.

Posztoperatív kezelésként 12 ciklus bevacizumab-FOLFIRI kemoterápiát kapott, a grade 3-as neutropenia és a grade 2-es hasmenés miatt az irinotekán és az 5-FU dózisának 50 %-os csökkentésével (2010.03-2010.09). A 12 ciklus után a PET-CT vizsgálat áttétet nem igazolt, ezért ekkor a mellékhatások és a messziről történő utazgatás miatt a beteg a kezelés szüneteltetését kérte további rendszeres gondozás mellett.

2011 júliusában a hasi UH vizsgálat multiplex máj éttéteket véleményezett. Az ekkor készített PET-CT vizsgálat a májáttétek mellett többgócú tüdő elváltozásokat is leírt.

Mivel ekkor még nem volt finanszírozott a bevacizumab reindukciója FOLFIRI kemoterápia indult dózisredukcióval 40 cikluson keresztül. Az elért legjobb tumorválasz SD volt.

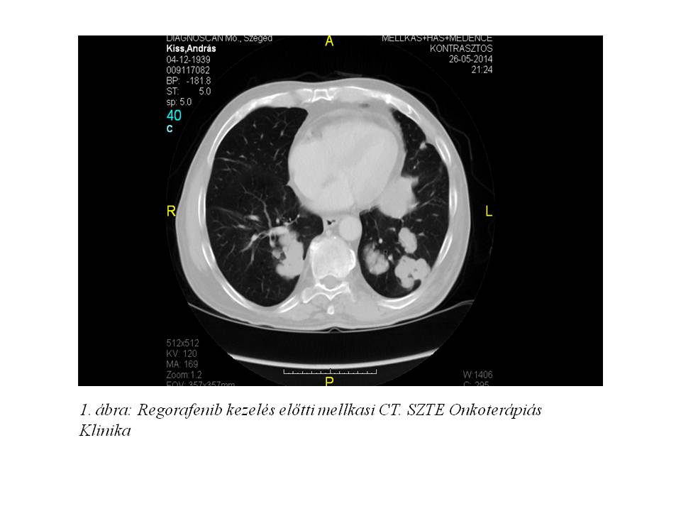
2013 augusztusban a staging vizsgálatok a hepatikus és pulmonális áttétek progresszióját írták le, mely miatt terápiaváltásra kényszerültünk. Kapecitabin monoterápia indult a korábbi 5-FU kezelés mellékhatásaként észlelt hasmenés miatt 25%-os dózisredukcióval, melyet 8 cikluson keresztül kapott a beteg. Ekkor újabb progresszió igazolódott (1. ábra, 2. ábra).

Közben, miután az EMA törzskönyvezte a regorafenibet olyan kolorektális rákban szenvedő betegek kezelésére, akiket korábban már kezeltek a rendelkezésre álló terápiákkal, Egyedi Méltányossági Kérelem került beadásra. Miután az engedélyt megkaptuk, regorafenib kezelés indult 2014 áprilisban utolsó aktív kezelési lehetőségként.

A kezelés mellékhatásaként grade 3-as kiütések (3. ábra, 4. ábra), grade 2-es sztomatitisz és grade 2-es kéz-láb szindróma (5. ábra, 6. ábra, 7. ábra) jelentkezett tenziókiugrás mellett, mely miatt 50 %-os dózisredukcióra kényszerültünk a vérnyomáscsökkentők beállítása és a bőrproblémák externákkal való kezelése mellett. A gondos betegvezetés és a család által támogatott jó compliance mellett a tenyerek, talpak hólyagos, nagyon kellemetlen elváltozása egyre későbbi kezelési héten jelentkezett, majd a 6. ciklusnál már nem is alakult ki.

Bőrtoxicitás

A 3 havonkénti tumorválaszt leíró vizsgálatok eddig SD-t igazoltak (8. ábra, 9. ábra). Eddig a beteg 9 ciklust kapott, ami bíztató a hosszú távú túlélés viszonylatában. Amennyiben a soros képalkotó vizsgálatok a betegség előrehaladását véleményezik, betegünk jó általános állapota még mindig lehetővé tesz klinikai vizsgálatban való részvételt, mellyel további hónapokat (vagy akár éveket?) nyerhet.

ÖSSZEFOGLALÁS

Esetünk jó bizonyíték arra, hogy a jó betegvezetés és a megfelelő beteg compliance mellett a CRC kezelése napjainkban évekig tart megfelelő életminőség fenntartása mellett.