logo_zold


BCN_ESO_badge


mamma


facebook-mammamia

41. eset

Palliatív kemoterápia mellett komplett remisszióba kerülő recidív primer cholangiocellularis carcinomás beteg esete

A 74 éves nőbeteg kivizsgálása 2013 márciusában indult gasztroenterológiai hospitalizálás során észlelt emelkedett CA 19-9 (29.26 U/mL, norm. tartomány <27.00 U/mL) értékek miatt. Az akkor elvégzett hasi UH vizsgálat a pancreas mellett egy 10 mm-es nyirokcsomót detektált, melynek gyulladásos eredetét valószínűsítették. Malignusnak imponáló térfoglaló folyamat ekkor nem igazolódott, de tumorkutatás céljából további vizsgálatok elvégzését javasolták a beteg számára.

A 2013 júniusában elvégzett hasi-kismedencei MR vizsgálat a máj jobb lebenyében egy 70 mm-es, valamint egy 14 mm-es képletet detektált, emellett a jobb mellékvese régiójában egy 24 mm átmérőjű laesio került leírásra (1. ábra). Az alfa-fötoprotein (AFP) érték normál tartományban volt. Ezt követően UH-vezérelt biopsia történt a májban észlelt legnagyobb elváltozásból. A minta szövettani feldolgozása áttéti jellegű adenocarcinomát igazolt, az immunfenotipizálás során leírt TTF1 pozitivitás felvette primer tüdő tumor lehetőségét. Mellkas CT negatív volt, a júliusban készült PET CT vizsgálat kóros dúsulást csak a májban látott, egyéb lokalizációban malignitásra utaló metabolikus eltérést nem igazolt.

2013 júliusában a beteg mammographiás vizsgálaton is részt vett, ahol a bal emlőben bizonytalan természetű microcalcificatiot találtak, és a meszesedést tartalmazó terület sebészi eltávolítását javasolták.

Ezt követően 2013 augusztusában SZTE Sebészeti Klinikán a hepaticus laesio miatt segment resectio műtét történt. A máj V., VI. és VII. segmentumai kerültek resectiora, a sebészi kimetszés ép parenchymával történt a műtéti leírás szerint. A műtéti specimen szövettani vizsgálata a tumort primer cholangiocellularis carcinomának véleményezte (pT2a, pNx, pMx). A műtéti leírás szerint a ligamentum hepatoduodenale jobb oldalán, közvetlenül a máj alatt, közel a daganathoz, egy kisebb, borsónyi, áttétnek véleményezett elváltozást találtak, melyet az épben eltávolítottak. A metastasisnak véleményezett laesio szövettani feldolgozása nem igazolt malignitást. Ezen kívül a máj környezetében, vagy távolabbi feltárható peritoneum felszíneken sem észleltek áttétképződést.

2013 októberében történt Intézeti onkoteam megbeszélés a klinikai ismeretekre való tekintettel postoperatív chemotherápiás kezelést nem javasolt, illetve arra tekintettel, hogy a cholangiocellularis carcinoma intrahepaticus elhelyezkedésű volt, a postoperatív chemo-radiotherápiás kezelés lehetőségét is elvetette. Ekkor szoros rutin követés indult.

A beteg 2014 áprilisában az emlőműtéten is átesett, de az excindátumok szövettani vizsgálata malignitást nem igazolt. Még ebben a hónapban a rutin betegkövetés részeként has-, medence MR vizsgálat történt, mely a májban multiplex haematogén metastasisokat, illetve paracavalisan nyirokcsomó metastasisokat írt le (2. ábra). A képalkotó eltérések mellett a CA 19-9 szintje is emelkedettnek bizonyult: 56.36 U/ml. A beteg lényegében panaszmentes volt, a recidiv cholangiocelullaris carcinomára való tekintettel ekkor kezelőorvosa palliatív céllal gemcitabine-cisplatin kezelését indított antiemetikum és LMWH profilaxisban.

2014 júliusában a harmadik ciklus utolsó fázisát követően a gastrointestinalis mellékhatások (grade I. hányás, illetve grade III. émelygés, hányinger) mellett grade III. neutropenia jelentkezett. Ezt követően a soros citosztatikus kezelést a jelentkezett haematológiai mellékhatások miatt 25%-os dózisredukcióval adtuk meg. Az elindított GCSF-szupportáció ellenére ismételten neutropeniás periódust észleltünk, sőt panaszokat okozó grade II. anaemia miatt a beteg transzfúzióra szorult. A következő kezelési fázisban a dózist tovább redukáltuk, 50%-ra, a GCSF profilaxist pedig megtartottuk. A bevezetett dóziscsökkentés mellett a beteg a kezeléseket kielégítően tolerálta. Az időszakos re-staging vizsgálatokon novum elváltozások nem jelentek meg, a korábbi elváltozások mérsékelt regresszióját detektálták, a stabil betegség határain belül. CA 19-9 szintje csökkent: 39.6 U/ml.

2015 áprilisban készült soros has + medence CT kontrollon a kiindulási vizsgálatokkal összehasonlítva a máj gócok már egyértelműen nem ábrázolódtak (12. ciklus után). Emellett azonban a beteg tumor markerei 2015 januárja óta folyamatos emelkedést mutattak, ehhez a staging vizsgálathoz tartozó CA 19-9 szint 107.8 U/ml volt.

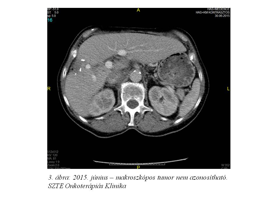
A radiológiai képalkotók által igazolt kifejezetten jó terápiás válasz mellett a beteg kezelése a korábban megkezdett dózisredukció mellett folytatódott tovább. Mindezek ellenére 2015 júliusában a soros kezelés megkezdése előtt elvégzett laborkontroll ismételten grade II. anaemiát jelzett, mely miatt ciklushalasztás vált szükségessé. 2015.06.30-án készült CT vizsgálatának leírásra szerint a májban korábban leírt gócok nem voltak elkülöníthetőek, azonban a beteg CA 19-9 szintje további emelkedést mutatott (175.2 U/ml).

Figyelembe véve a visszatérő hematogén mellékhatást (anaemia) és azt, hogy további dózisredukcióra dózistartalék már nem állt rendelkezésre, illetve az idős beteg hallása az elmúlt időszakban jelentősen romlott (jelezve, hogy a beteg kezelése során a kumulatív cisplatindózist elértük), valamint hogy a radiológiai komplett remissziót a legutolsó képalkotó kontrollok (3. ábra) is megerősítették, a beteg kezelőorvosa a kemoterápia felfüggesztését javasolta, mellyel az intézeti onkoteam és a beteg is egyetértett.

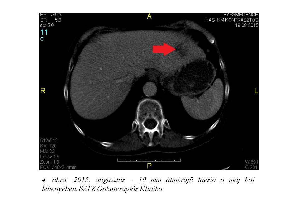
A durg holidayt követően 2015 augusztusában készült friss staging vizsgálatok sajnos a betegség progressioját igazolták. A májban ismételten kóros gócok jelentek meg (4. ábra), melyhez azonban a CA 19-9 szintjének csökkenése társult (122 U/ml). A beteg másodvonalas kezelésének meghatározása folyamatban van.