logo_zold


BCN_ESO_badge


mamma


facebook-mammamia

33. eset

Relapszus rizikófaktorok és cervixrák kiújulásának összefüggése

(Korai stádiumú méhnyakrák kiújulásának esetismertetése)

2013. januárban az 53 éves nőbetegnél kóros cytológiai lelet (P4) kapcsán elvégzett conisatio és fractionalt abrasio cervix carcinomát igazolt. A szövettani minta feldolgozása a méhnyak relatíve rosszul differenciált, el nem szarusodó, úgynevezett kissejtes laphámrákjának részleteit írta le. /Megjegyzés: ezt a ritka hisztopatológiai altípust először 1957-ben írták le az irodalomban/.

Nőgyógyászati vizsgálat cervixre lokalizálódó kiterjedést véleményezett, a környező szövetek érintettsége nélkül. Staging vizsgálatok részeként mellkas rtg (negatív) és has+kismedence CT vizsgálat történt, mely az uterus bizonytalan megnagyobbodását írta le, nyirokcsomó áttét és távoli disszemináció nem igazolódott. A rendelkezésre álló klinikai adatok alapján a betegség FIGO I/B stádiumként került besorolásra.

Tekintettel a korai stádiumú malignitásra, valamint figyelembe véve a beteg életkorát, 2013. februárban Wertheim műtét történt.

Szövettani vizsgálat 29 mm-es (pT1b), közepesen differenciált (grade II.) laphámcarcinomát igazolt, melynél a daganat a lateralis, és a posterior rezekciós vonalakat elérte (R1 resectio), emellett kiterjedt peritumoralis, lymphovascularis terjedést írt le. A nyirokcsomókban áttét nem igazolódott - pN0 (0/14). /Megjegyzés: a pozitív rezekciós szélek és a nyirokérbetörés miatt a relapszus rizikó magas!/.

A magas kiújulási kockázat miatt onkoteam döntés alapján 4x7 Gy hüvelyi csonkbiztosító brachyterápiás kezelésben, majd 25x1,8 Gy dózisú posztoperatív kismedencei sugárkezelésben részesült, heti 40 mg/m2 Cisplatin (összesen 5 alkalommal) szimultán kemoterápiával együtt. A posztoperatív onkológiai kezelés komplettálását követően betegünk rutin utánkövetése indult rendszeres konrollvizsgálatokkal. Betegünk 10 hónapon át tünet- és panaszmentes volt.

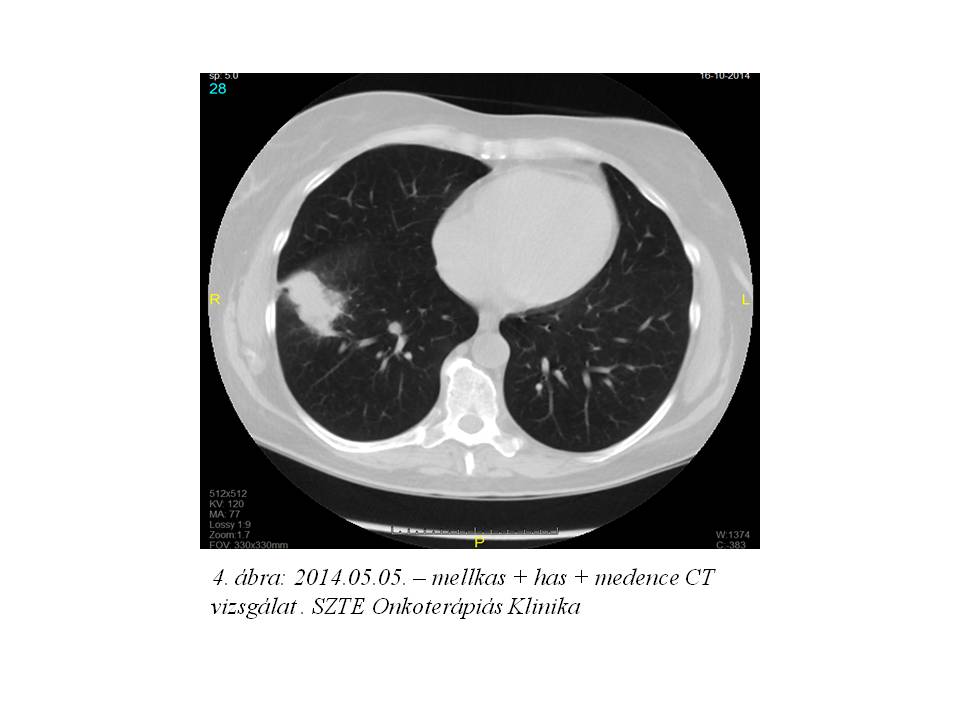
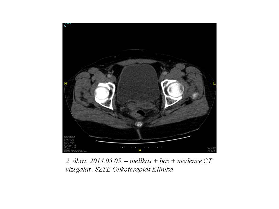
2014. márciusban a beteg rendellenes hüvelyi vérzés miatt jelentkezett nőgyógyászati kontrollon. Fizikális vizsgálattal egyértelműen recidíva nem igazolódott. Has + kismedencei CT vizsgálat történt, mely multiplex hepaticus metastasisokat, valamint jobb oldali pyelectasia mellett a hólyag és a rectum közötti régióban kismedencei recidíva radiológiai képét, és a jobb tüdőbázison is bizonytalan gócot írt le. (1. ábra, 2. ábra, 3. ábra, 4. ábra).

A friss képalkotó leletek birtokában az esetet nőgyógyászati onkoteam tárgyalta újra (2014.07. hónap), mely CT revíziót, tumormarker vizsgálatot és a felmerülő metastasis megerősítésére májbiopsziát javasolt. Az elvégzett biopszia szövettani feldolgozása igazolta a méhnyakrák távoli disszeminációját. Az egyidejű tumormarker vizsgálat eredménye mérsékelt CA-125 (57.20 M U/mL ) és CA 15-3 (62.13 M U/mL) emelkedést igazolt.

Tekintettel a szisztémássá vált, recidív alapbetegségre, az onkoteam palliatív paclitaxel-carboplatin-bevacizumab immun-kemoterápiát javasolt, bevacizumab egyedi méltányossági kérelemmel.

Folyamatosan emelkedő vesefunkciós paraméterek miatt azonban a palliatív kezelést nem tudtuk megkezdeni, nephrostoma beültetésére került sor. 2014. szeptemberben elvégzett friss has + medence CT mind a hepatikus metasztázisok, mind a vesepangás és a kismedencei recidíva rapid progresszióját igazolta (5. ábra, 6. ábra, 7. ábra). Mivel a vesefunkciós értékei későbbiekben sem engedték kemoterápiás kezelés indítását, szupportív terápia indult.

A beteget 2015. januárban masszív hüvelyi vérzés miatt, Dührrsen-tamponade behelyezését követően osztályunkon obszerváltuk. Az alkalmazott tüneti terápia ellenére keringés-, légzésleállás tünetei mellett 2015.01.30-án exitált.

Megbeszélés

Cervixdaganatok esetén a betegség rizikócsoportok szerinti besorolásakor a legfontosabb szempontok: a tumor mérete, az invázió mélysége, a daganat differenciáltsága, a nyirokcsomó status, a lymphovascularis invázió, a sebészi szélek állapota és a hisztológiai altípus.

Bár betegünknél a műtéti preparátum szövettani feldolgozása során áttétes nyirokcsomó illetve parametrium beszűrtség nem igazolódott, azonban a pozitív rezekciós szélek és közepesen rosszul differenciált daganat típus miatt a betegség a magas relapszus rizikócsoportba sorolandó. Ilyen esetekben a szakmai irányelvek alapján kombinált posztoperatív kezelés indokolt, amely a radioterápia mellett a kemoterápiát is magába foglalja, mivel a citosztatikus kezelés igazoltan növeli a progressziómentes túlélést, azonban a prognózis így is rossz. Relapszus, távoli áttétek esetén a betegség általában szimptomatikus formában jelenik meg, és az esetleges salvage beavatkozások, illetve palliatív citosztatikus kezelések mellett is meglehetősen szerények a túlélési adatok, a kórkép jellemzően gyors klinikai lefolyást mutat.*

* Forrás: Cervical cancer: ESMO Clinical Practice Guidelines for diagnosis, treatment and follow-up (2012)

Összeállította: Dr. Végváry Zoltán