logo_zold


BCN_ESO_badge


mamma


facebook-mammamia

30. eset

Hatékony neoadjuváns kemo-radioterápia szerepe előrehaladott recto-sigmoideális tumor ellátásában

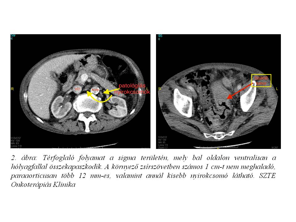
A 67 éves férfi beteg kivizsgálása (hasi UH, colonoscopia, hasi CT) 2014. tavaszán lázas állapot, hasmenés, hányás és görcsös hasi fájdalmak kapcsán indult, mely az anusnyílástól 15 cm-re lévő, a lument 2/3-ban szűkítő recto-sigmoideális tumort igazolt. CT képalkotás alapján a daganat a diagnózis időpontjában látszólag már a hólyagfalat is infiltrálta, illetve felmerült vesicorectalis fistula lehetősége, melyet cystoscopia egyértelműen nem igazolt, de nem is tudott kizárni. A beteg anamnézisében erős dohányzás, rendszeres alkoholfogyasztás és szignifikáns atherosclerosis szerepelt.

A szövettani mintavétel közepesen-jól differenciált adenocarcinomát igazolt. A képalkotó vizsgálatok alapján regionális, illetve PAO régióban detektálható lymphadenomegalia is igazolódott (1. ábra, 2. ábra).Stagingmellkas CT vizsgálat tüdőáttétet nem igazolt, tumor marker vizsgálatok minimális carcino-embrionalis antigén (CEA) emelkedést mutattak (4,74 M ng/ml, norm. tartomány‹4,70). Komplett kivizsgálás alapján a daganat iniciális stadiuma T4, N1 (LYM), M1 (PAO nyirokcsomó érintettség) lett definiálva, mely miatt, onkoteam döntés alapján, neoadjuváns kemoradioterápia indult 2014. júniusában (3. ábra, 4 ábra). A radioterápia indításától kezdve folyamatos compliance problémák nehezítették a kezelést. A beteg a szükséges kontrollvizsgálatokon nem vett részt, GI és vizeletürítési panaszaival SBO-n, sebészeti és urológiai ambulancián jelent meg, mely miatt sugárkezelését 11 frakció (19,8 Gy) leadását követően felfüggeszteni kényszerültünk. A beteg a sugárérzékenyítő, orális capecitabine (Coloxet, 825 mg/m2) citosztatikumot is csupán 1 hétig szedte. A fokozódó subileusos panaszok miatt urgens, székletpasszázst biztosító deviáló tranversostoma képzés történt SZTE Szebészeti Klinikán.

Opust követően az aktív onkológiai kezelés 2014 júliusában indult újra. A megismételt besugárzás-tervezési topo-CT (5. ábra, 6. ábra) mérsékelt tumoros regressziót igazolt. A beteg sugárkezelését további 17x1,8 Gy + a residualis makroszkópos tumornak megfelelően szűkített célterületre további 5x1,8 Gy összdózissal komplettáltuk, az 1. és 5. héten iv. 5FU+Leucovorin kemoterápiával kombinálva, tekintettel a korábbi compliance problémákra.

A neoadjuváns-kemoradioterápia sikeres komplettálását követően elvégzett re-staging has+medence CT jó ütemű regressziót igazolt mind az iniciális tumor, mind a nyirokcsomó státusz tekintetében (7. ábra, 8. ábra). Tekintettel a kedvező tumor válaszra 2014.11.05-én SZTE Sebészeti Klinikán sigma resectio és partialis húgyhólyag resectio történt. A szövettani feldolgozás közepesen differenciált cribriformis adenocarcinomát igazolt, ypT3yN0 (0/1 nyirokcsomó) stádiummal. A rezekciós szélek és hólyag nyálkahártyája intaktnak bizonyultak.

Jelen pillanatban a beteg szövődménymentes posztoperatív időszakot követően, jó általános állapotban – intézeti onkoteam döntés értelmében - adjuváns FOLFOX4 kemoterápia indítására vár.

Összeállította: Dr. Végváry Zoltán