logo_zold


BCN_ESO_badge


mamma


facebook-mammamia

29. eset

Rutin onkológiai utánkövetés során észlelt második primer tumor kezelésének története

A 70 éves férfi betegnél 2011 novemberében szeptikus tünetek és kizáródott bal oldali lágyéksérv kapcsán sürgőséggel végzett opus során igazolódott a felső harmadi, gyermekökölnyi méretű, kifekélyesedő rectum tumor, mely miatt Hartmann szerinti rezekciót végeztek SZTE Sebészeti Klinikán. A szövettani feldolgozás pT3 stádiumú, Grade II-es adenocarcinomát igazolt, nyirokcsomó áttétek nélkül (0/11), perirectalis zsírszöveti terjedéssel, R0 rezekcióval.

Tekintettel a posztoperatív időszakban fellépő sebgyógyulási komplikációkra és az ezzel kapcsolatosan elvégzett rekonstrukciós műtétre, valamint a posztoperatív időszakban kialakult ascites diureticus kezelésére, 3 hónappal késett a beteg első onkológiai konzíliuma. Elsősorban emiatt nem indult adjuváns onkológiai kezelés, melyet azonban a beteg általános állapota sem tett volna lehetővé. Az elvégzett staging vizsgálatok az alapbetegség távoli disszeminációját nem igazolták, a páciens tumormarkerei normál tartományban voltak. Az ascites kontrollja céljából indikált belgyógyászati kivizsgálás a sigma tumor peritonealis manifesztációját nem igazolta (negatív citológia), azonban kiderült, hogy háziorvosa májcirrhosis miatt gondozza, ennek hátterében krónikus alkohol abúzus állt. A beteg kórtörténetében korábban lezajlott Hepatitis A vírusfertőzés is szerepelt. .

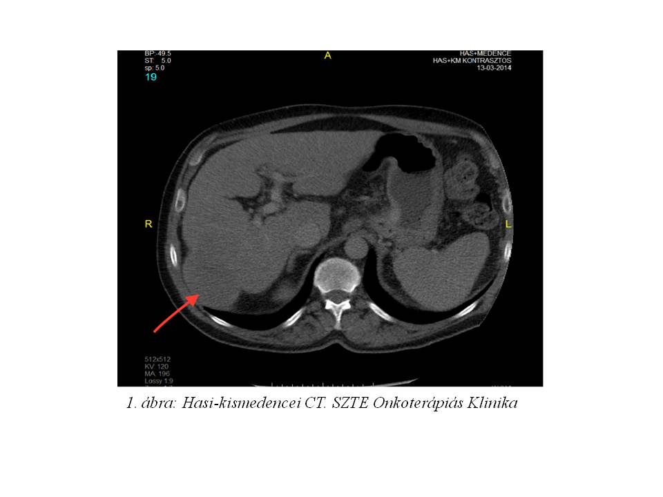
A sigma tumor rutin követése kapcsán 2014 márciusában készült hasi és kismedencei CT vizsgálat, mely a máj VII. szegmentumában egy 80 mm-es, a VI. szegmentumban pedig egy 35 mm-es laesiot igazolt, melyek metastasisok gyanúját vetették fel. A colorectalis tumorra specifikus markerek azonban nem emelkedtek. A beteg referálásra került az egyetem gasztrointesztinális onkoteamjében, ahol a CT felvételek ismételt áttekintése során felvetődött a primer hepatocellularis carcinoma lehetősége. Ezt követően a nagyobb lézióból UH vezérelt biopszia történt, mely primer hepatocelluláris carcinoma jelenlétét igazolta. Ezt az emelkedett szérum AFP szint is megerősítette (2014.04.04: 1053 µg/L) (1. ábra).

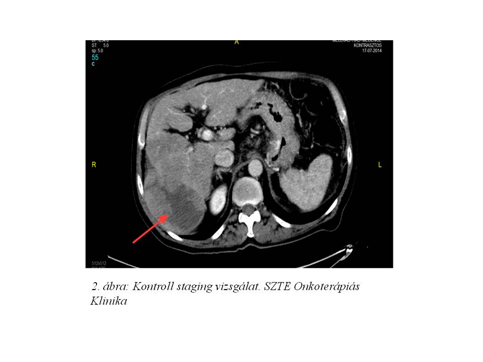
A multidiszciplináris onkoteam döntése alapján sebészi eltávolítás, illetve a jobb vena hepatica érintettsége miatt TACE (transarterialis chemoembolisatio) kezelés nem jött szóba. A vizsgálatok szerint a beteg hepatocelluláris karcinómája BCLC “C” (The Barcelona Clinic Liver Cancer staging) stádiumú volt, a hepatikus funkciók szempontjából pedig a Child-Pugh pontrendszer besorolása szerint az “A” osztályba tartozott, így sorafenib (Nexavar) monoterápiája indult 2014 áprilisában. A beteg 3 ciklust kapott meg. Azt ezt követően készült kontroll staging vizsgálatok azonban a betegség RECIST 1.1 szerinti 36%-os progresszióját igazolták. Az AFP szint 1388 µg/L-re emelkedett. A kezelt HCC nagyobbik góca a progresszió során áttörte a máj dorsolaterális tokját, mely a megfelelő régióban tapintható terimét hozott létre (2. ábra). A progresszió miatt a beteg sorafenib kezelése 2014 júliusában felfüggesztésre került.

Ekkor kezelőorvosa a pácienst egy másodvonalas kezelési lehetőséget felkínáló, klinikai vizsgálatot futattó centrumba küldte screening céljából, ám a beteg a korábbi sigma tumor miatt nem felelt meg a beválasztási kritériumoknak.

Mivel a HCC kezelésére a sorafeniben történő progresszió esetén evidenciákkal alátámasztott hatásos onkológiai terápiás lehetőség nincs, a beteg egy esetleges palliatív célú sugárterápiás beavatkozás céljából referálásra került az intézeti onkoteamben. Mivel az elváltozások nem sugárérzékenyek, így effektív sugárkezelésre nem volt mód, ezért belső onkoteam döntése alapján 2014 augusztusától a beteg BSC ellátása indult háziorvos és területi belgyógyászati osztály segítségével.

Összeállította: Dr. Végváry Zoltán