logo_zold


BCN_ESO_badge


mamma


facebook-mammamia

28. eset

Gyomor tumoros férfibeteg sikeres kezelése

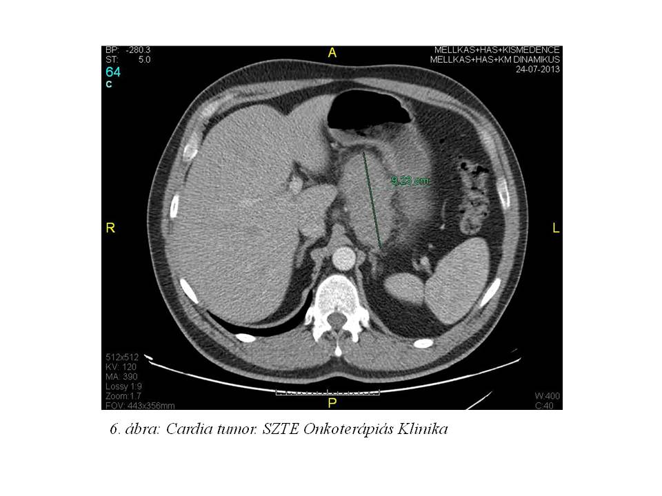
44 éves férfibetegünknél 2013 nyarán fokozódó nyelési panaszok miatt indult kivizsgálása nyelési panaszok és bőrelváltozások miatt. Bőrelváltozásai mindkét oldalon az axillákra, és az inguinakra kiterjedtek, borsnyi, borsónyi veruccosus formában. A bőrgyógyászati diagnózis acantosis nigricans (1. ábra, 2. ábra, 3. ábra, 4. ábra, 5. ábra) lett, mely felvetette paraneoplasiás szindróma lehetőségét. Az elvégzett CT vizsgálat (2013.07.24., 6. ábra, 7. ábra) a gyomor kisgörbülete mellett a fallal összefüggésben a cardiát érintő 43x92x78 mm-es lágyrész képletet írt le, mely a zsírteret infiltrálta, mellette néhány kóros nagyságú nyirokcsomó helyezkedett el. 2013.09.05-én gasztoscopia során biopsiás mintavétel történt, a szövettani feldolgozás adenocarcinomát igazolt (T3-4 N1 M0; adenocarcinoma exulceratum, közepesen differenciált, HER2: negatív). Tumormarkerei a következőek voltak: CEA: 84.57 ng/ml (emelkedett), CA 19-9<0.6 U/mL (normális), CA 72-4: 1.64 U/mL (normális). 2 hónap alatt 25 kg-ot fogyott. A stádiumra való tekintettel az onkoteam neoadjuváns kemoterápia elindítását javasolta a tervezett opus előtt.

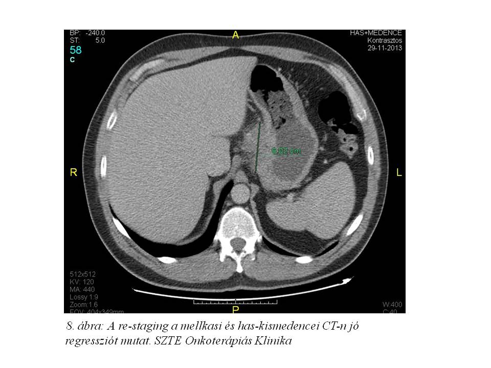
Első, perioperatív ECX kezelését 2013.10.03-tól kapta, mely előtt Gr.III-as anaemia miatt 6 egység vörösvértest transzfúzióban és per os vaspótlásban részesült. Kezelését filgrastim védelemben adtuk (inj. Zarzio 48 ME, 10 napon keresztül). A 3. ciklust követően bőrtünetei sokat javultak, de még kissé perzisztáltak. Re-staging mellkas, has-kismedence CT történt (2013.11.29. 8. ábra), melyen jó regressziót véleményeztek, azonban a lézió továbbra is 60 mm-es legnagyobb átmérőjű volt, és az artéria lienalistól nem tűnt elválaszthatónak. Emiatt sebészeti szakvélemény szerint műtét egyelőre nem volt javasolt, az onkológiai kezelés folytatását kérték.

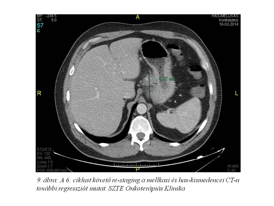
A 6. ciklust követően újabb mellkas, has-kismedence CT történt (2014.02.10. 9. ábra), mely további regressziót írt le. Ezt a kontroll gasztroszkópia is megerősítette. 2014.04.22-én exploratív laparotomia történt, azonban a nagyerekhez rögzült, nőiökölnyi konglomerátumot radikálisan eltávolítani nem lehetett, a tumort technikailag inkurábilisnek minősítették, tápláló jejunostomát készítettek.

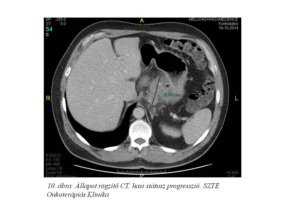
2014.05.15-én gasztro-intestinális onkoteam a tumor elhelyezkedése miatt a folyamat operábilissé válását nem tartotta valószínűnek, és további palliatív onkológiai kezelést javasoltak. A felépülést követően státuszrögzítő CT-vizsgálat történt (2015.10.18. 10. ábra), mely a hasi státusz progresszióját írta le, de távoli metasztázis nem igazolódott. A folyamat aktiválódását jelezte az is, hogy az acantosis nigricans ismét aktiválódott. A beteg általános állapotát és kérését figyelembe véve, 2014.11.10-12.19-ig definitív/konverziós célú sugárkezelést adtunk a GEJ tumorra (célterület 11. ábra), a perigastricus térre, a truncus coeliacus nyirokrégióra, a lép- és májkapu, paraaorticus régióra; az 1. és 5. héten 5FU+leucovorinnal sugárérzékenyítve. A sugárkezelés megkezdésekor vérképét vörösvértest transzfúzió adásával rendeztük, ezt követően vérképe stabil volt, egyéb mellékhatás nem jelentkezett.

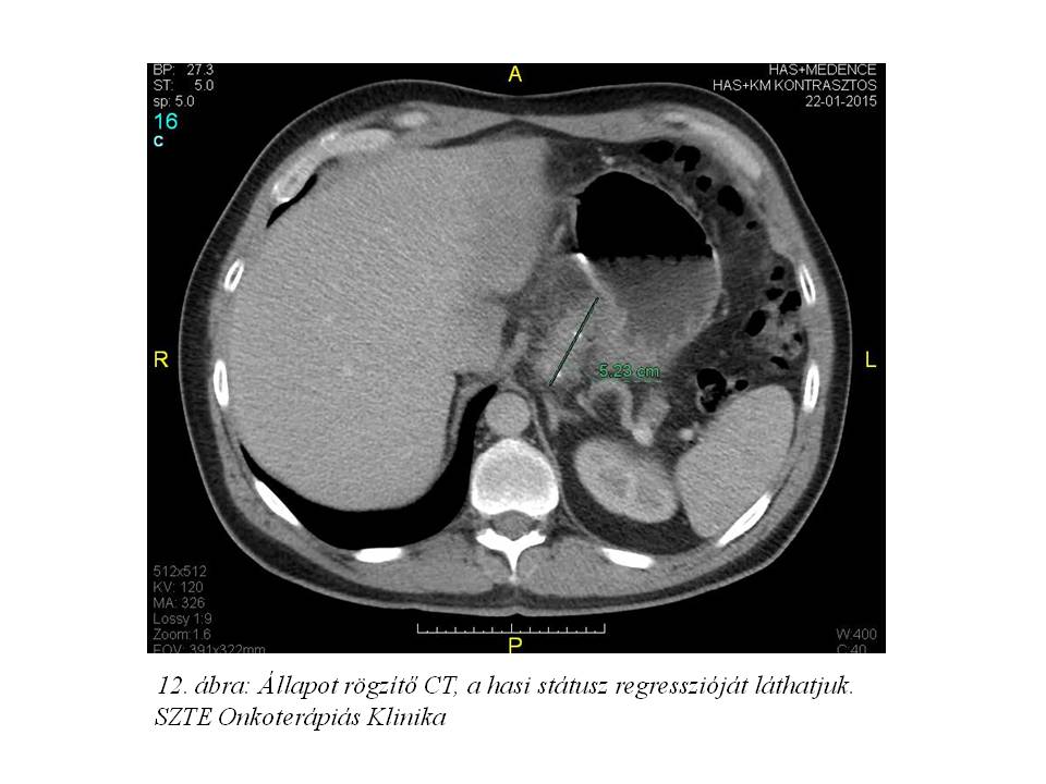
A re-staging vizsgálatként elvégzett mellkas, has-kismedence CT (2015.01.22. 12. ábra) kisfokú regressziót írt le, az operábilitás elbírálása érdekében sebészeti konzíliumot kértünk. 2015.05.07-én az Uzsoki Utcai Kórház onkosebészeti osztályán total gastrectomia történt D2 lymphadenectomiával. A műtét utáni felépülés teljes, bőrtünetei a komplex ellátást követően mérséklődtek. Onkoteam döntés alapján a beteg rutin követése javasolt.

Összeállította: Dr. Varga Linda