logo_zold


BCN_ESO_badge


mamma


facebook-mammamia

26. eset

Tapasztalataink lanreotid kezeléssel II

57 éves férfibeteg 2011 júliusában potenciazavar miatti urológiai kivizsgálása során hasi UH (1. ábra) és CT vizsgálat (2. ábra) történt, melyek során a máj bal lebenyében egy 60 mm legnagyobb átmérőjű, ill. számos 10-20 mm-es lézió került leírásra. UH vezérelt májbiopsiát követően szövettan igazolta neuroendokrin malignitását (immunhisztokémiai vizsgálattal CK7: -, CK18: 3+, chromogranin A: 3+, synaptophysin: 3+, CD56: 3+, hepatocyta antigén: -, AFP: -, Ki67: <4%, szerotonin: 1+, VIP: 2+, insulin: -, glucagon: -, somatostatin: -, gastrin: -). Gastrin, chromogranin, vizelet 5HIAA és VMS vizsgálat történt, a chromogranin (>770 ng/ml), vizelet 5HIAA (137,6 mg/24h vizelet) és VMS (18,4 mg/24h vizelet) emelkedett volt. A májban található neuroendokrin tumor primer vagy áttéti mivoltának meghatározása érdekében staging-jét gasztroszkópiával és hasi MR vizsgálattal (3. ábra) is kiegészítették, melyek azonban a máj többgócú folyamatán kívül egyéb eltérést nem detektáltak. Octreoscan vizsgálat ekkor nem történt a somatostatin receptor negativitás miatt.

A következő hónapokban a beteg alternatív terápiát választott, illetve a májtumor sebészeti ellátását szerette volna, azonban a disszeminált hepatikus folyamat miatt primer opus nem jött szóba.

2012. április 25-én jelentkezett ambulanciánkon 2011 júliusa óta ismert neuroendokrin tumora miatt onkológiai kezelés céljából. Jelentkezésekor fő panaszai a neuroendokrin tumoroknál ismert, időnként jelentkező hasmenés, vérnyomás ingadozás, arcpirosodás.

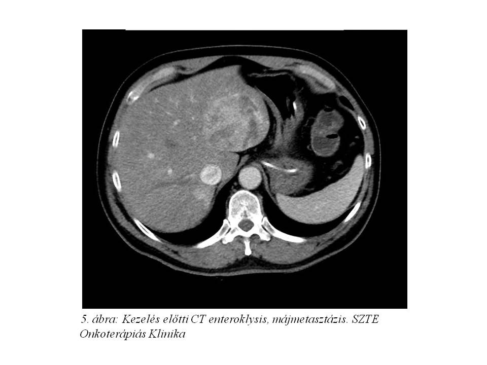
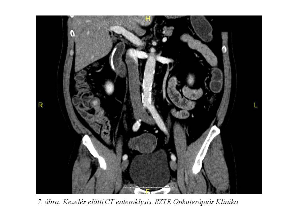
Tekintettel a diagnózis óta eltelt több hónapra re-staging hasi MR (4. ábra) és CT enteroklysis vizsgálat (5. ábra, 6. ábra, 7. ábra) történt. Az előbbi változatlan állapotot írt le, azonban az utóbbin a terminális ileum kezdeti szakaszán kb. 1,1x1,8x10 mm-es térszűkítő folyamat is ábrázolódott, mely megfelel a primer neuroendokrin tumornak.

Octreotid monoterápiáját (Sandostatin LAR kezelés) 2012.04.27-én kezdtük, az első injekció beadását követően arcpirosodása és hasmenése megszűnt. A 4. kezelést követően re-staging MR vizsgálaton (8. ábra) minimális regressziót véleményeztek (2012.08.10.), chromogranin 128 ng/ml-re csökkent. A 8. kezelést követően képalkotóval továbbra is stabil betegség állt fenn, azonban a chromogranin érték emelkedni kezdett (185,4 – 197,30 – 200,5 – 266,0 – 283,9 ng/ml). A definitív progresszió hiánya (7%-os növekedés, SD) miatt kezelését folytattuk, összesen 22 ciklust kapott 2013.12.02-ig (9. ábra, 10. ábra).

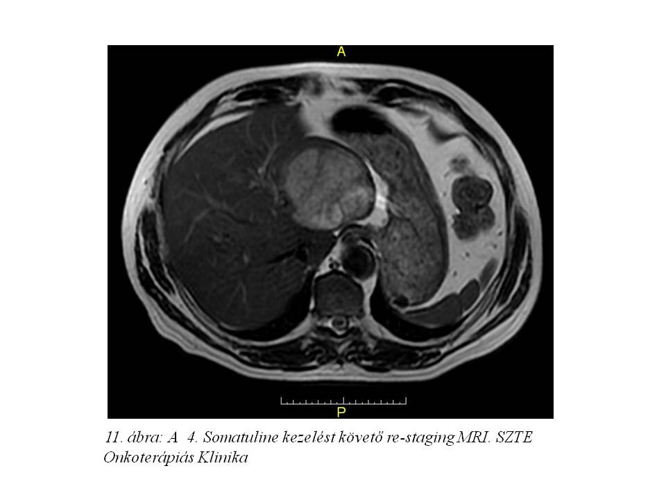
Ezt követően bőrgyógyászati ellátás vált szükségessé testszerte jelentkező viszkető urticaria miatt, felmerült octreotidra való túlérzékenység lehetősége. Emiatt kezelését a továbbiakban lanreotiddal (Somatuline) folytattuk, ugyancsak 4 ciklusonként végzett re-staging mellett. Jelenleg a hasi MR vizsgálaton (11. ábra, 12. ábra, 13. ábra) változatlan status látható, a chromogranin szint emelkedése mellett (266,9 – 310 – 427 ng/ml).

Összeállította: Dr. Varga Linda