logo_zold


BCN_ESO_badge


mamma


facebook-mammamia

25. eset

Tapasztalataink lanreotid kezeléssel I.

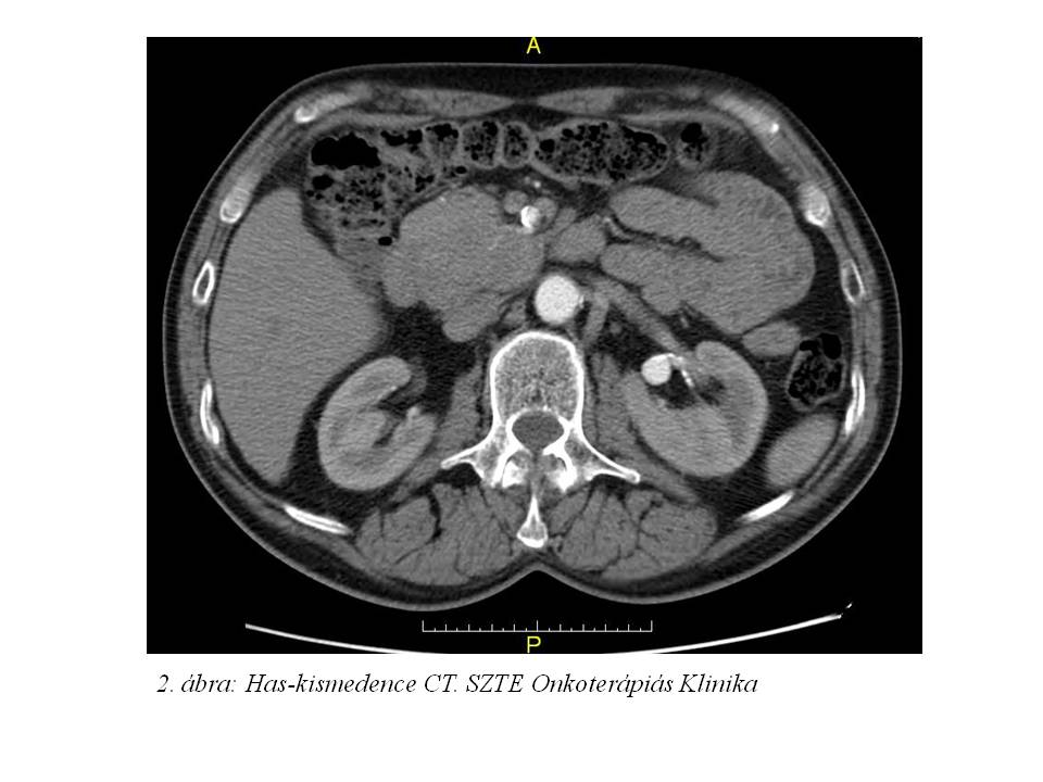
61 éves férfibetegünknél 2013 áprilisában indult kivizsgálás pancreatitisre hasonlító övszerű fájdalom és gyomorürülési zavarok miatt, melyek kb. 3 éve álltak fenn. Hasi UH vizsgálatán (1. ábra) egy nagy retroperitoneális terimét detektáltak, melyet has-kismedence CT vizsgálat (2. ábra) megerősített: a pancreas fej mögött egy 59x51x30 mm-es képlelet detektált, mely a pancreas fejjel összefügg. Mellkas RTG, gasztroszkópia negatív, CA 19-9 normális tartományban volt. UH vezérelt biopszia igazolta jól differenciált neuroendokrin malignus tumorát (immunfentipizálással béta-catein: 1+, KL1: 3+, chromogranin: 3+, synaptophysin: 3+, CD56: 3+, vimentin: -, Ki67: 15%), mely miatt 2013.05.28-án exploratív laparotomia történt az SZTE Sebészeti Klinikán. A folyamat inoperábilisnak bizonyult a környezeti infiltráltság miatt. Anamnéziséből kiemelendő, hogy az elmúlt évben 11 kg-ot fogyott (74 kg-ról 63 kg-ra).

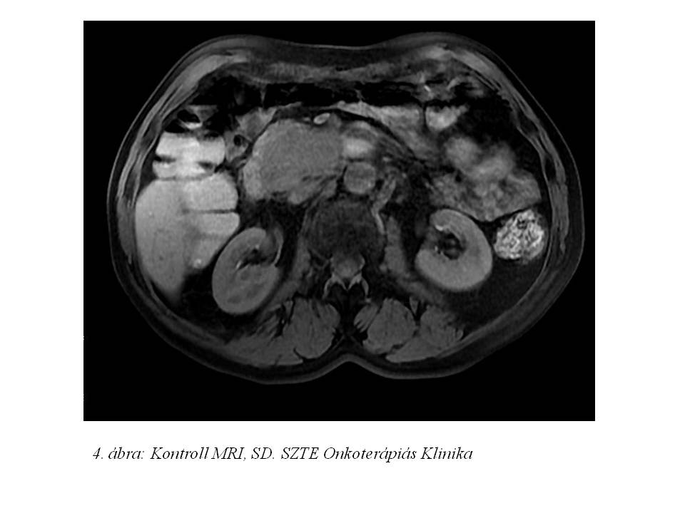
2013.06.15-től octreotid terápiát indítottunk. A pontos staging érdekében octreoscan vizsgálat (3. ábra) is történt, mely a pancreas fej területén, valamint a májban és a has területén több helyen is kóros aktivitásfokozódást igazolt. Az octreotid kezelés alatt folyamatos re-staging vizsgálatok történtek, kezelését 15 hónapig tartottuk (4. ábra).

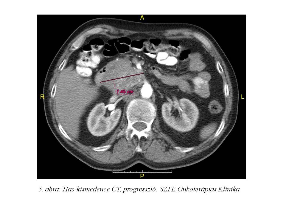
2014.07.23-án elvégzett has-kismedence CT vizsgálat (5. ábra) progressziót igazolt, ezért 2014.08.04-től kezelését a továbbiakban magas dózisú lanreotid kezelésre váltottuk.

2015.01.06-án készült has-kismedence MR vizsgálat (6. ábra) a máj áttétek méretbeli és számbeli progresszióját, valamint a pancreas fej követett folyamatának ismételt növekedését mutatták. A beteg gastrin és chromogranin szintje végig normál tartományban volt.

A progresszió miatt lanreotid kezelését egyedi méltányossági kérelem alapján sunitinib kezeléssel egészítettük ki. A kombinált terápia mellett az ismert mellékhatások, úm. vérnyomás emelkedés és –kiugrás, ill. HFS jelentkezett. Kezelésünk hatására a has-kismedence MRI-n (7. ábra) a primer tumor tekintetében regresszió és nekrózis, a májáttétek tekintetében pedig a kontrasztanyag halmozási dinamika olyan jellegű megváltozása került detektálásra, mely az áttétek vaszkularizációjának csökkenésére jellemző.

Összeállította: Dr. Varga Linda