logo_zold


BCN_ESO_badge


mamma


facebook-mammamia

23. eset

Ritka lágyrész-tumor komplex onkológiai kezelése

2014 tavaszán betegünk rohamosan növekvő, fájdalmas terimét vett észre a jobb oldali gluteális tájékon, mely mozgásában akadályozta, ill. hátán már feküdni sem tudott, ezért következményesen a térdek és könyökök területén decubitusok alakultak ki.

2014.04.02-án készült pelveo-femoralis CT-angiográfián (1. ábra, 2. ábra) a jobb pelvicus régióban nagy kiterjedésű térfoglaló folyamat látszott, mely a csontokat destruálta. Emellett jobb oldali arteria iliaca communis occlusio, multiplex tüdő metastasis is leírásra került. A hasban metastasis nem volt igazolható. 2014.05.06-án a gluteális teriméből biopsia vétel történt, melyből hisztológiai feldolgozás pleimorph liposarcomát véleményezett.

Irodalmi adatok alapján a lágyrészsarcomák ritka tumorok, az összes malignus daganat kb. 1%-át teszik ki, többségében (50-60%) végtagokon helyezkednek el, etiológiai eredetük lényegében ismeretlen. Első vonalbeli kezelésként a radikális, kuratív célú excisio javasolt, melyet kemo- vagy radioterápiával ajánlott kiegészíteni. A pleomorph liposarcoma relatíve kemoszenzitív (doxorubicin, vagy ifosfamid kezelésre) a többi szövettani formájú liposarcomához képest.

Mivel betegünknél a pleomorph liposarcoma metasztatikus és lokálisan előrehaladott stádiumban került felfedezésre, ezért kuratív célú műtét nem jöhetett szóba. Onkológiai kezelésként mono-doxorubicin kezelést indítottunk 2014.05.20-án. Figyelembe véve a beteg általános és fizikális állapotát, sokér-betegségét (jobb oldali arteria iliaca communis occlusio), kezelését 25%-os dózisredukcióval adtuk meg (56.25 mg/m2).

A 3. ciklust követően re-staging has, kismedence, alsó végtagi CT vizsgálat történt (2014.08.11.,3. ábra, 4. ábra), melyen a jobb glutealis régióban leírt térfoglaló folyamat kifejezett regressiót mutatott. A kismedencei propagatio csaknem teljes egészében megszűnt. A jobb arteria iliaca communis szintjétől az arteria femoralis communis oszlásáig az ér továbbra is okkludált, a többi vizsgált artériában lument kitöltő telődés volt megfigyelhető (az occlusio mérséklődött). Ekkor, a korábban a tüdő basisokon leírt metastaticus gócok már nem ábrázolódtak.

A csontdestrukció miatt intravénásat zoledronsav kezelést indítottunk, emellett kemoterápiáját folytattuk. 2014.10.16-ig 7 ciklust kapott. A 8. ciklus megadásától a beteg kérését szem előtt tartva, és tekinettel a kialakult mellékhatásokra (hányinger, hányás, rossz közérzet, gyengeség) eltekintettünk. Fizikális vizsgálattal a korábban a gluteális régióban észlelt konglomeratum már nem volt tapintható. Mobilizálhatóvá vált, visszatérhetett korábbi megszokott életviteléhez, így a térdek és könyökök területén kialakult decubitusok meggyógyultak.

Ezt követően re-staging mellkas-, has-, kismedence-CT és angiográfia történt (2014.11.24., 5. ábra). Pulmonalis metasztázis továbbra sem volt igazolható. A gluteális tumor komplett remisszóba került, csupán a lytikus csontfolyamat engedett következtetni a korábbi daganat meglétére.

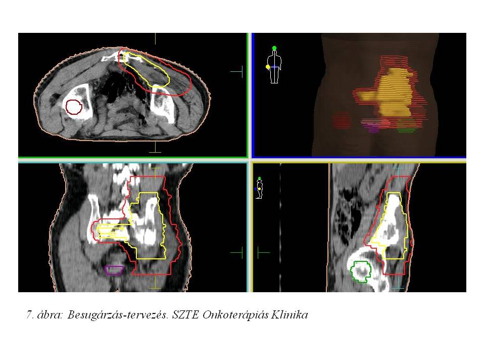
Onkoteam megbeszélés és ortopédiai konzílium történt, de a kiváló regresszió ellenére operáció továbbra sem jött szóba. A lokális kontroll érdekében trans-arteriális kemo-embolizációt (TACE, 2014.12.22., 6. ábra) terveztünk, azonban az a. iliaca communis elzáródása miatt a doxorubicin szelektív beadása a jobb oldali a. iliaca internaba nem volt kivitelezhető. A lokoregionális ellátás érdekében 2015.01.08-tól 3D konformális besugárzást kezdtünk az eredeti makroszkópos tumor területére 50-60 Gy céldózissal (7. ábra).

A beteg jó általános állapotban van, daganatos alapbetegsége panaszt nem okoz, életvitelét nem gátolja.


Az esetet összeállította: Dr. Varga Linda