logo_zold


BCN_ESO_badge


mamma


facebook-mammamia

22. eset

Vastagbél tumoros, immunszuprimált beteg korszerű onkológiai kezelése, klinikai vizsgálatok ajánlása alapján

1956-ban született betegünknél 1992 óta ismert familiáris eredetű polycystás vesebetegsége, a kialakult veseelégtelenség miatt 2006-ban vese-transzplantáción esett át, immun-szuprimálásként mycophenolate-mofetil és cyclosporin terápia indult. Graftja jól működött, vizeletmennyisége egyensúlyban volt, gondozásra járt.

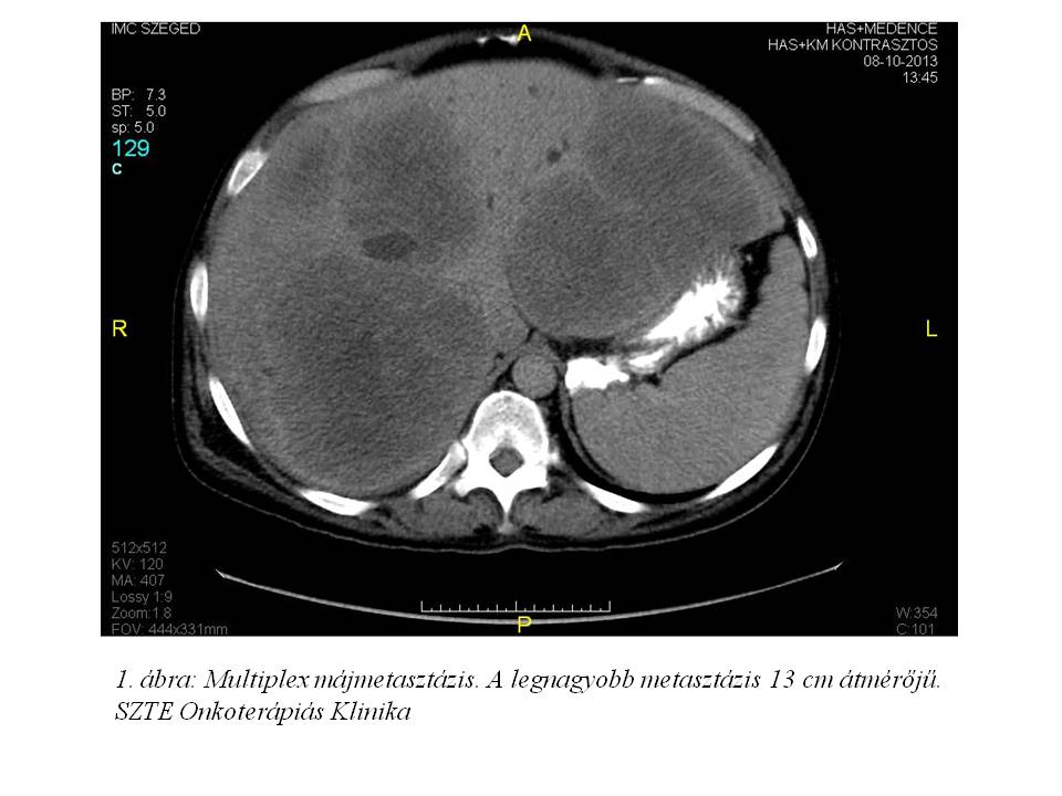
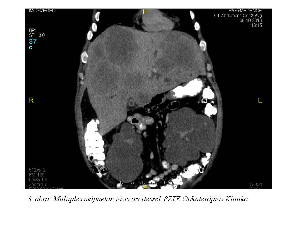
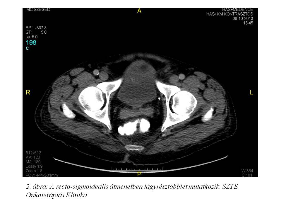
2013 októberében vérszékelés, hasi fájdalom, kb. 10 kg-os fogyás (10%-ot meghaladó súlyvesztés), emelkedő májfunkciós értékek (GOT: 65 U/l, GPT: 67 U/l, GGT: 631 U/l, ALP: 580 U/l, sebi: 34.5 umol/l, dibi: 25.5 umol/l) miatt indult kivizsgálása. Has-kismedence CT (2013.10.08., 1. ábra, 2. ábra, 3. ábra) készült, mely leírta a rectum-sigma átmenet lumenbe domborodó tumorát, multiplex máj metastasist, ascitest. Mellékleletként felvetette a jobb tüdő bázison lévő metasztázis gyanúját. Colonoscopia (2013.10.11.) során a sigmában, az anusgyűrűtől 25 cm-re egy vastag nyélen lévő 6-7 cm-es polyp volt látható. Mivel nem tűnt invazív tumornak, az SZTE Sebészeti Klinikán polypectomiát végeztek. A szövettan azonban malignusan transformálódott tubulovillosus adenomát igazolt adenocarcinomával (pT1). A T1-es kategóriájú daganat multiplex áttétképzését a beteg immunszuprimáltsága magyarázza.

A has-kismedence CT vizsgálaton már felmerült tüdőmetasztázist az elvégzett mellkas CT vizsgálat (2013.11.13., 4. ábra) is megerősített: a tüdőben mindkét oldalon elszórtan néhány 3-6 mm nagyságú, lágyrész denzitású apró képlet ábrázolódik, mely metasisnak tartható.

A staging komplettálása céljából tumormarker vizsgálat is történt, mely extrém magas értékeket detektált: CA 19-9: 121.5 U/ml, CEA: 5900 ng/ml. Kiindulási laboreredményei közül az emelkedett májfunciós értékek emelendőek ki (GOT: 81 U/l, GPT: 67 U/l, GGT: 503 U/l), valamint az ALP: 1440 U/l.

A metastatizáló colon tumor miatt cyclosporin alapú bázis immunoszupresszióját mTOR inhibitorra (sirolimus) cserélték. A vesetranszplantáció miatt VEGF-gátló (bevacizumab) kezelés nem adható, palliatív FOLFOX-4 (Oxaliplatin, Leucovorin, 5-FU) kemoterápiát kezdtünk 2013.11.20-án.

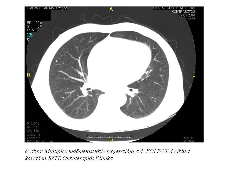
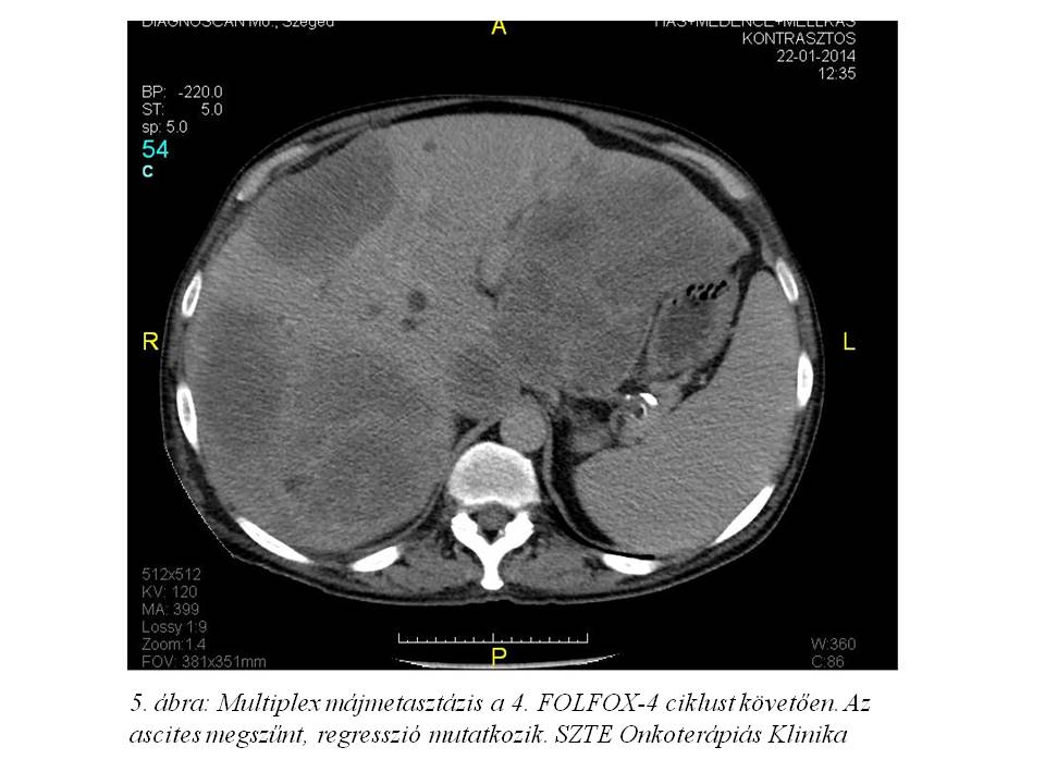
Lokális mellékhatásként postinfúziós phlebitis alakult ki, melyet szteroidos vénakenőccsel kezeltünk. Az első re-staging vizsgálatát a 4. ciklust követően végeztettük: a mellkas, has-kismedence CT vizsgálaton jó regressziót írtak le, a korábbi ascites megszűnt (2014.01.22., 5. ábra, 6. ábra), a tumormarkerek felükre, ill. tizedükre csökkentek: CA 19-9: 59.33 U/ml, CEA: 579 ng/ml. Májfunkciós értékei normalizálódtak, az ALP 1158 U/l-re csökkent.

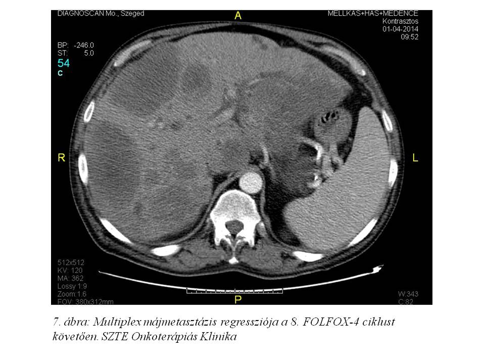
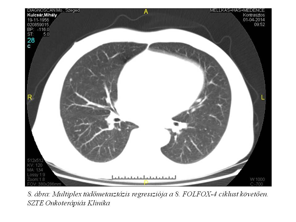
A 8. ciklust követő soros re-staging mellkas, has-kismedence CT-n további regressziót láttunk (2014.04.01., 7. ábra, 8. ábra); a CA 19-9: 27.9 U/ml (normalizálódott), a CEA: 258 ng/ml (megfeleződött). A 9. ciklusra érkezésekor említette először a tenyerek-talpak fokozott hidegérzetét, ekkor még zsibbadás nem volt (oxaliplatin okozta mellékhatásként ismert perifériás sensoros neuropathia). Az oxaliplatin dózisában 1. szintű redukciót alkalmaztunk (75 mg/m2).

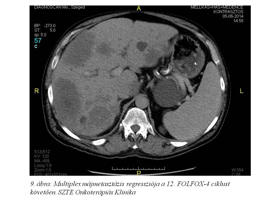
A 12. ciklust követő soros re-staging has-kismedence CT-n további regressziót láttunk (2014.06.05., 9. ábra), a mellkas CT-n tüdőmetasztázis nem volt azonosítható; a CA 19-9 és CEA normál értékű. A mellékhatásként kialakult perifériás sensoros neuropathia fokozódott, zsibbadás kezdődött, de a mindennapi teendőkben még nem zavarja. Az oxaliplatin dózisában 2. szintű redukciót alkalmaztunk (65 mg/m2).

2014. júliustól tenyér-talp zsibbadása tovább fokozódott, a mindennapi teendőkben zavarta. Az oxaliplatin okozta neurotoxicitás reverzibilis lehet, amennyiben annak adását megfelelő időben felfüggesztjük. Az OPTIMOX-1 klinikai vizsgálatban az optimális oxaliplatin alkalmazást vizsgálták: FOLFOX-4 kezelést adtak, 2 randomizált karon: az egyik kar kezelése progresszióig, míg a másik kar kezelése „stop-and-go” szerint történt, vagyis ez utóbbi karon a neurotoxicitás megjelenésekor az oxaliplatin adását felfüggesztették, a kezelést DeGramont protokoll szerint folytatták, majd progresszió esetén az oxaliplatint reindukálták. Az OPTIMOX stratégia eredményesnek bizonyult, a „leállítani, majd újrakezdeni” kezelési mód az oxaliplatin vonatkozásában kisebb mértékű neurotoxicitást okozott, miközben a hatásosság nem gyengült. [1., 2.]

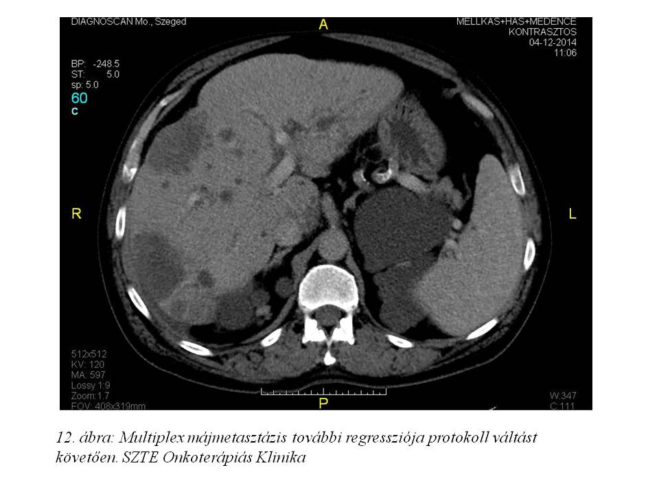
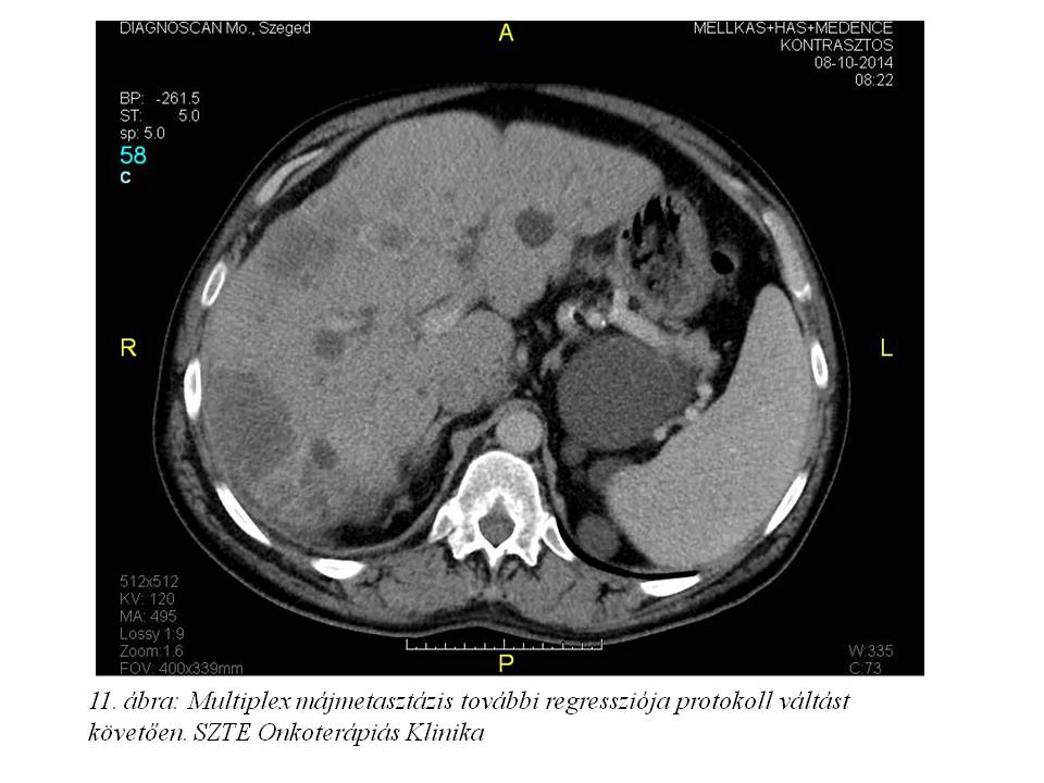
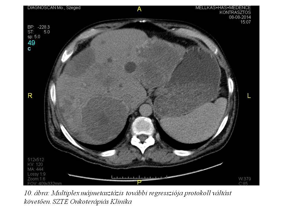
A fentiek értelmében a 16. ciklustól az oxaliplatin adásától eltekintettünk, kezelését DeGramont protokoll (Leucovorin + 5FU bolus + 5FU folyamatos infúzióban) szerint folytattuk. 2014. december 29-ig összesen 11 ciklust kapott. Az ez idő alatt elvégzett re-staging has-kismedence CT további regressziót írt le (2014.08.08. 10. ábra, 2014.10.08. 11. ábra, 2014.12.04. 12. ábra), a mellkas CT-n tüdőmetasztázis továbbra sem detektálható, a tumormarkerek tovább csökkentek (CEA: 0,8 ng/ml, CA 19-9: 7,32 U/ml), májfunkciós enzimek értéke normális.

A beteg további onkológiai kezelését stabil betegség („stable disease - SD”) vagy további regresszió („partial remission – PR”) esetén a megkezdett DeGramont séma szerint folytatjuk, esetleges progresszió („progressive disease – PD”) esetén az oxaliplatin reindukcióját tervezzük.

Hivatkozások:

  1. Christophe Tournigand, Andres Cervantes, Arie Figer, Gérard Lledo, Michel Flesch, Marc Buyse, Laurent Mineur, Elisabeth Carola, Pierre-Luc Etienne, Fernando Rivera, Isabel Chirivella, Nathalie Perez-Staub, Christophe Louvet, Thierry André, Isabelle Tabah-Fisch and Aimery de Gramont: OPTIMOX1: A Randomized Study of FOLFOX4 or FOLFOX7 With Oxaliplatin in a Stop-and-Go Fashion in Advanced Colorectal Cancer—A GERCOR Study
  2. > Benoist Chibaudel, Frédérique Maindrault-Goebel, Gérard Lledo, Laurent Mineur, Thierry André, Mostepha Bennamoun, May Mabro, Pascal Artru, Elisabeth Carola, Michel Flesch, Olivier Dupuis, Philippe Colin, Annette K. Larsen, Pauline Afchain, Christophe Tournigand, Christophe Louvet and Aimery de Gramont: Can Chemotherapy Be Discontinued in Unresectable Metastatic Colorectal Cancer? The GERCOR OPTIMOX2 Study

Az esetet összeállította: Dr. Varga Linda