logo_zold


BCN_ESO_badge


mamma


facebook-mammamia

21. eset

33 hónap túlélés rossz prognózisú, metasztatikus rektum tumor korszerű kezelésével

A felvételekor 57 éves férfi betegünknél 2011 tavaszán székletürítési panaszok és nagyfokú fogyás miatt indult kivizsgálás. Az elvégzett colonoscopia az anus nyílástól 13 cm-re a lument kritikus mértékben szűkítő tumoros terimét talált, melyből biopsia (2011.04.20.) igazolta a malignitást, K-RAS vad típusú adenocarcinomát.

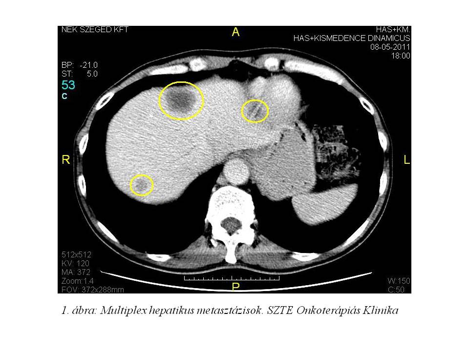
Az akkori staging has-, kismedence CT vizsgálata szerint a primer tumor a bal uretert szűkítette, a májban 4 áttétet írtak le. Mellkas röntgenjén multiplex tüdő áttétek, illetve lymphangitis carcinomatosa lehetősége merült fel. (1. ábra, 2. ábra)

2011.05.10-én a lokálisan előrehaladott, így irrezekábilis folyamat, valamint az áttétes betegség jelenléte miatt a passzázs biztosítása céljából palliatív megoldásként kétcsövű anus praeternaturalis készült az SZTE Sebészeti Klinikán. Az operáció során az áthajlás felett elhelyezkedő recto-sigmoideális tumort észleltek, mely a mesorectumot is beszűrte, a mesorectumban, a mesosigmában lévő nyirokcsomókban tumoros áttéteket tapintottak, melyek paraaorticusan is folytatódtak. A máj mindkét lebenyében diónyi metastasisokat észleltek.

A beteg onkológiai kezelését a PAVES studyban indítottuk, szem előtt tartva, hogy a legjobban kezelt beteg mindig a klinikai vizsgálatba bevont páciens. A PAVES vizsgálatban a betegek metasztatikus alapbetegségükre a standard elsővonalas kezelést kapták, s az emellé adott pegfilgrastim hatását vizsgálták a lázas neutropénia gyakoriságára.

A screening során a beteg staging-jét mellkas CT vizsgálattal egészítettük ki, mely a korábban készült mellkasi röngenvizsgálaton észlelt multiplex tüdőmetasztázisok jelenlétét megerősítette.

A beteg a kezelés megkezdése előtt erősen leromlott általános állapotban érkezett, a súlyvesztés a 10%-ot meghaladta. Az iniciális LDH: 399 U/l, a FVS: 12.14 Giga/L, melyek emelkedett értéke nagy tumortömeget és rossz prognózist jelzett. A klinikai gyakorlatban a tumormarkerek dinamikájának követése a re-staging része, induláskor a CEA 26,38 ng/ml (emelkedett), CA19-9 0,64 U/ml (normális) volt.

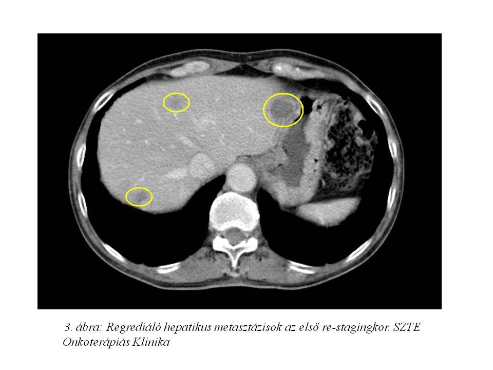
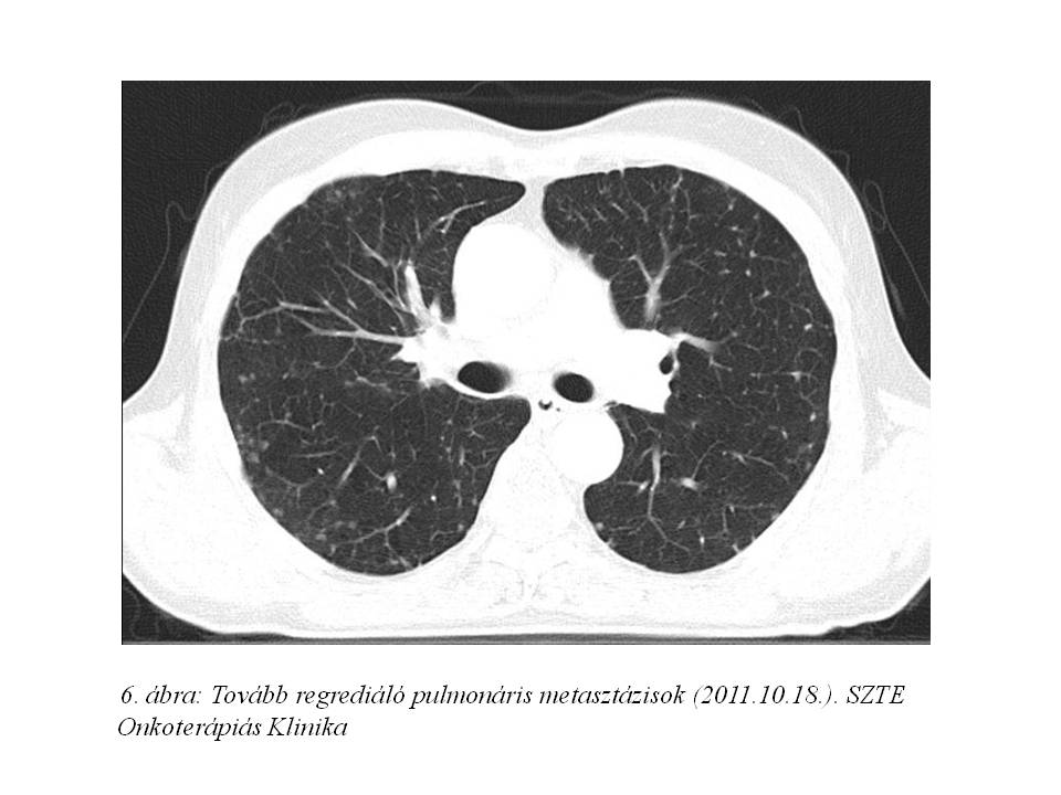
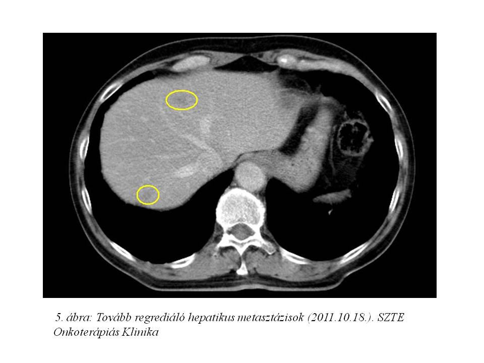
Palliatív onkológiai kezelésként FOLFIRI-bevacizumab immunochemotherápia indult 2011.07.05-től. Az első re-stagingkor (3. ábra, 4. ábra) már parciális remissziót észleltünk (46% csökkenés) mind a primer tumor, mind a tüdő-, mind a máj metasztázisok méretében. 2011.10.18-ára (5. ábra, 6. ábra) a regresszió tovább nőtt (59%). A kezelés mellékhatásaként, az irinotecan infúziót követően jelentkező orrváladékozást (irinotecan okozta specifikus parasympatikus tünet) a további kezelések során sc. atropinnal premedikáltuk, míg Gr.I. postinfúziós vénagyulladását lokálisan kezeltük. A 30. ciklustól a kezeléseket követően émelygés jelentkezett, mely otthon szedett ondansetron hatására megszűnt. Az 53. ciklust követően Gr.III-as hasmenés, exsiccatio és Gr.IV. neutropénia miatt hospitalizálás vált szükségessé. Empirikusan indított intravénás, széles spektrumú, kombinált antibiotikum, sc. filgrastim kezelés, parenterális folyadék-, és elektrolit pótlás hatására állapota rendeződött. Kezelését ezt követően folytattuk, de az észlelt súlyos mellékhatások miatt 25%-os redukciót alkalmaztunk a kemoterápiás szerek dózisában.

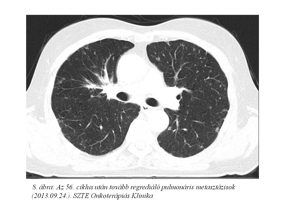
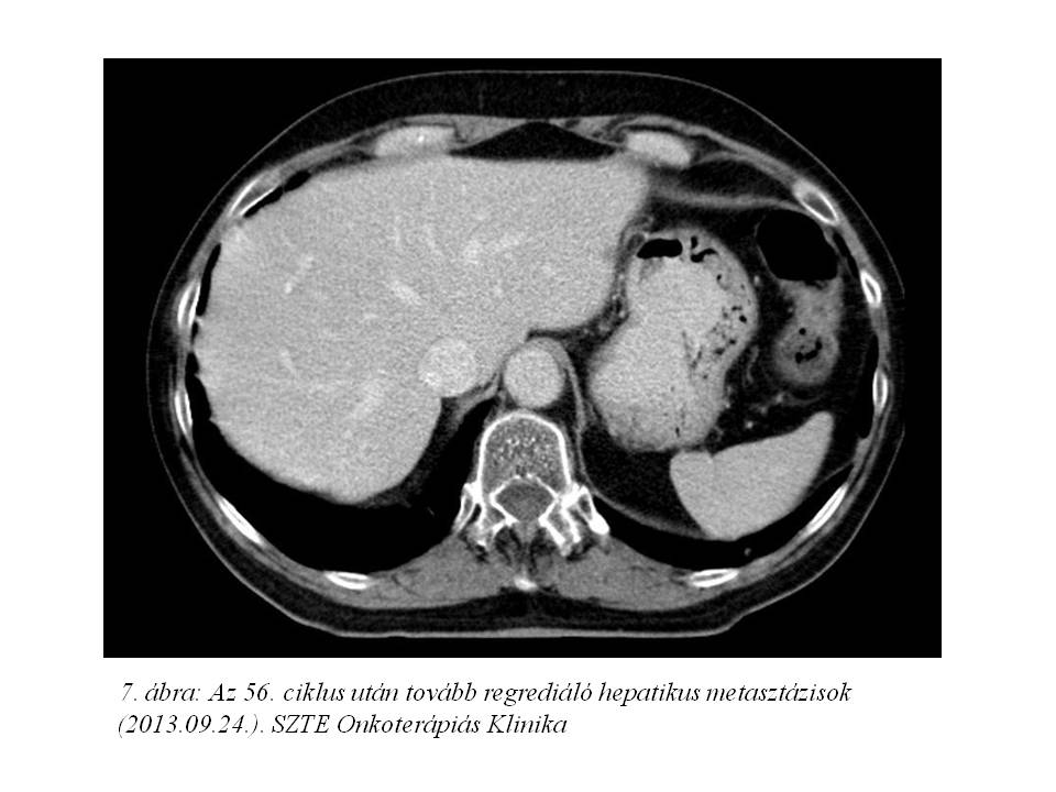
Az 56. ciklus FOLFIRI-bevacizumab immuno-chemotherápiát 2013.09.24-én adtuk, mely utáni CT vizsgálaton (7. ábra, 8. ábra) 80%-os regressziót láttunk az alapvizsgálathoz képest, azonban novum lyticus és scleroticus átépülés jelent meg a jobb csípőlapátban, mely felvetette csontmetasztázis lehetőségét. Ezt egy friss csontscintigráfiás lelet (9. ábra) is megerősítette, és a beteg fokozódó csípő és hátfájdalmai is ezt támasztották alá. Az ossealis propagatio miatt elsővonalas terápiáját felfüggesztettük, fájdalomcsillapítás céljából palliatív irradiatio történt 2013.11.26-tól, a metasztatikusan érintett lumbális IV-V. csigolyákra és medencecsontokra (jobb os ileum, acetabulum), 10x3 Gy frakciódózissal. (10. ábra). Ezen kívül biszfoszfonát (4 mg zoledronsav iv., q4w) kezelés is indult.

Másodvonalas palliatív kezelését 2014.01.07-én indítottuk, FOLFOX4 protokoll szerint. A 3. ciklust követően fejlődött ki Gr.II-es perifériás szenzoros neuropáthiája, mely miatt 1. szintű (75 mg/m2) dózisredukciót alkalmaztunk az oxaliplatin vonatkozásában. A 4. ciklust követő, re-staging-ként végzett CT (2014.02.26.) progressziót írt le: a primer rektum tumor növekedett, a máj metasztázisok mérete és száma gyarapodott, a tüdőben újabb gócok jelentek meg, a hilusi nyirokcsomó konglomeratum főhörgő kompressziót és diszlokációt okozott. Ez az eltérés álhatott a beteg fokozódó fulladásos panaszainak hátterében.

További onkológiai terápiaként EGFR gátló (cetuximab) kezelést szerettünk volna indítani. A kezelés előtt immunhisztokémia vizsgálat elvégzése, a teljes RAS panel (K-RAS és N-RAS) ismerete szükséges, azonban a kis anyagmennyiség miatt ez nem volt kivitelezhető. RAS mutáció esetén a daganat rezisztens lesz az EGFR-gátlókkal szemben, ezért adásuk ellenjavallt. Szupportív terápiaként pulmonológiai konzíliumot követően kombinált inhalációs bronchodilatator kezelés és inhalációs oxigén indult. Állapota ezt követően rapidan romlott, és 2014.04.07-től állapotának rosszabbodása miatt hospitalizálás vált szükségessé. A beteg 2014.04.18-án exitált.

Összeállította: Dr. Varga Linda