logo_zold


BCN_ESO_badge


mamma


facebook-mammamia

19. eset

Metasztatikus hepatocellularis carcinoma (HCC) kezelése sorafenibbel

Esetismertetésünkben egy 64 éves férfi beteg kórtörténetét mutatjuk be.

A kórelőzményében heresérv miatt gyermekkorban műtét, 1997 óta magas vérnyomás betegség, 2007 óta IDDM szerepel. Családi anamnézise daganatos betegségekre negatív. Bevallott alkoholfogyasztása naponta 5 cent pálinka, 1-2 üveg sör.

Belgyógyászati kivizsgálása kóros laborparaméterek miatt indult 2013-ban - CRP: 65.6, GOT 60 U/l, ALP: 165 U/l. Tumormarker meghatározás is történt, mely a CA 19-9 és az AFP esetében messze a normál tartomány feletti értékeket igazolt (CEA: 3,09 ng/ml, CA 19-9: 323,10 U/ml, AFP: 19829 ng/ml).

A 2013. augusztusban elvégzett kolonoszkópia és gasztroszkópia daganatra gyanús elváltozást nem írt le. Az ekkor készített has-kismedencei CT a máj bal lebenyét teljesen kitöltő 14 x 7 x 11 cm-es tumort véleményezett (1. ábra).

A májból UH vezérelt biopsziás mintavétel történt. A szövethengerek szövettani vizsgálata grade II-es primer hepatocellularis carcinomát írt le.

A staging vizsgálatok részeként készült mellkas CT-n szeptemberben a tüdőkben elszórtan, számos 23 mm körüli és ennél kisebb, helyenként összefolyó jellegű nodulus ábrázolódott. A hilusokban és a mediastinumban néhány 22 mm nagyságú nyirokcsomó volt látható (2. ábra).

A kivizsgálás részeként HBsAg és HCV antitest meghatározás (ELISA DiaPro) történt, mindkét vizsgálat negatív eredménnyel zárult.

A beteg fizikális vizsgálata során az elődomborodó, közepesen feszes, vastag, zsíros hasat nehezen lehetett betapintani. A jobb bordaívet 15 cm-el meghaladó, a máj mindkét lebenyét érintő hepatomegaliát találtunk.

A májfunkció megítélésére a nemzetközileg használt Child-Pugh pontrendszert használtuk, mely a szérum bilirubin és albumin szint mellett az ascites és a hepatikus encepahopathia meglétét, ill. hiányát valamint a prothrombin szintet értékeli. Betegünk esetében ez a pontszám 5-nek bizonyult, így a beteget Child-Pugh A osztályba lehetett sorolni. A rendszernek prognosztikai jelentősége van: A osztályba sorolt betegek 1 éves túlélése 100 %, 2 éves túlélése 85 %. B osztály esetén ez a túlélési mutató 81 és 57%-ra csökken, C osztálynál pedig csak 45, ill. 35 % a betegek 1 és 2 éves túlélése.

Az eredmények ismeretében az intézeti onkoteam sorafenib kezelést javasolt.

2013. október 01-n az alkalmazási előírás szerinti napi 2 x 400 mg dózisú sorafenib-bel indítottuk a kezelést.

A terápia hatásosságát fizikális vizsgálattal, havi laborkontrollal és kb. 3 havonta has-kismedencei és mellkas CT-vel kontrolláltuk.

Mind a tapintási lelet, mind a laborparaméterek szinte „drámai” javulást mutattak.

Májméret alakulása fizikális vizsgálattal

  • 2013.10.01. - 15 cm
  • 2013.10.28. - 12 cm
  • 2014.01.15. - 8 cm
  • 2014.04.11. - 6 cm
  • 2014.12.17. - 4 cm
  • Jelenleg is - 4 cm

Laborvizsgálatok


2013. 10.22

2013. 11.19.

2014. 01.14

2014. 0 3.11.

2014. 05.06.

2014. 10.21.

2014. 12.16.

2014. 01.06.

2014. 02.10.

GOT

76

70

31

28

26

25

30

26

31

GPT

43

60

34

34

32

30

27

31

29

ALP

258

279

108

95

93

80

93

99

122

GGT

405

581

162

126

98

77

86

100

172

AFP

19829

____

11201

____

3289

_____

501

_____

0,61 alatt

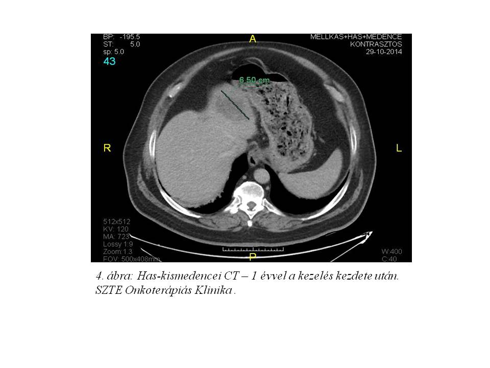
Az első staging mellkasi CT vizsgálat 3 hónap után részleges regressziót írt le (3. ábra), majd további javulást figyelhettünk meg (4. ábra, 5. ábra).

A sorafenib ismert mellékhatásai közül a betegnél kb. 3 hónappal a kezelés megkezdése után a mellkas és a hát bőrén ún. kéz-láb bőrreakció jelentkezett, mely spontán megszűnt. Majd újabb 1 hónappal később a fejbőr viszketése és grade I súlyossági fokozatú hajhullás okozott panaszt. Ritkán, rendszertelenül hasmenésre panaszkodott.

A sorafenib ismert, gyakori mellékhatása közé tartozik a hypothyreosis, ezért a pajzsmirgy funkciót rendszeresen kell ellenőrizni. Betegünknél 1 hónappal a kezelés kezdete után a TSH érték5,39 mIU/L(0,27-4,2) volt normál T3/T4 mellett. 1 hónap után ez az érték 3.02-re csökkent.

A többször a normál érték felső határán lévő értékek miatt endokrinológiai konziliumot kértünk, mely teendőt nem javasolt. A pajzsmirigy vizsgálat részeként készített UH vizsgálat a jobb lebenyben 18,5 x 19,5 x 57,5 mm-es nodulust írt le „mellékleletként”, struma nodosa-t véleményezve.

Az esetünket öszefoglalva: betegünk eddig 17 ciklus sorafenib kezelést kapott. Teljes dózisú terápia mellett csak grade I-es, jól tolerálható mellékhatások jelentkeztek. A tüdő áttétek valamint a mediastinalis és hilusi lymphadenomegalia részleges regressziója már 3 hónap kezelés után bekövetkezett.

Az elsődleges máj daganat RECIST 1.1 szerint értékelve 1 évvel a kezelés megkezdése után mutatott részleges válaszadást.

A beteg általános állapota mindvégig nagyon jó volt.

Összeállította: Dr. Sántha Dóra